Schock für Patient

Bauchschmerzen erwiesen sich als Mega-Tumor

Burgenland
13.01.2025 05:58
Porträt von Burgenland-Krone
Von Burgenland-Krone

Ein heikler Eingriff ist den Chirurgen der Klinik Oberwart jetzt erfolgreich geglückt. Sie entfernten in einer zweistündigen OP einem Patienten einen 30 Zentimeter großen Tumor.

Über Bauchschmerzen sowie einen immer stärker anschwellenden Bauch klagte ein Pensionist, als er in das Krankenhaus Oberwart kam. Rund drei Wochen lang hatte der 74-Jährige bereits die Schmerzen ertragen, bevor er sich endlich dazu entschloss, ärztlichen Rat einzuholen. Die richtige Entscheidung, wie sich herausstellte.

Tumor war langsam gewachsen
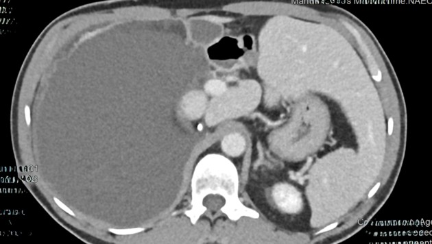
Denn bei der umfassenden Untersuchung wurde die Ursache für die Symptome schnell klar: Im Oberbauch des Mannes hatte sich langsam ein zystischer Tumor gebildet, der letztendlich auf eine Größe von unglaublichen 30 Zentimetern angewachsen war. „Ein Tumor von solcher Dimension ist selten. Aufgrund der enormen Größe und der Lage des Tumors – zwischen Leber, rechter Niere, großer Körperschlagader und Dickdarm – war die Operation eine Herausforderung“, sagt Primarius Univ.-Prof. Dr. Peter Kornprat, Abteilungsleiter der Chirurgie in Oberwart.

Heikler Eingriff
Zwei Stunden dauerte der heikle Eingriff, der schließlich ein gutes Ende fand. Gemeinsam mit Oberarzt Dr. Thomas Niernberger und der Medizinstudentin Laura Schermann, die gerade ihr Klinisch-Praktisches Jahr in der neuen Klinik absolviert, gelang es Kornprat den gutartigen Tumor zu entfernen.

Dr. Thomas Niernberger, Medizinstudentin Laura Schermann und Primarius Univ.-Prof. Dr. Peter ...
Dr. Thomas Niernberger, Medizinstudentin Laura Schermann und Primarius Univ.-Prof. Dr. Peter Kornprat nahmen den Eingriff vor.(Bild: zVg)

„Ein unglaubliches Gefühl“
Für die 25-jährige Stipendiatin ist eine von 148 angehenden Medizinern, die über ein Stipendium des Landes gefördert werden und sich im Gegenzug verpflichten, nach dem Studium fünf Jahre im Burgenland tätig zu sein. Für sie war der Eingriff eine besondere Erfahrung: „Ich bin dankbar, dass ich bei dieser heiklen Operation dabei sein durfte. Es ist ein unglaubliches Gefühl, wenn ein Patient wieder gesund nach Hause darf. Genau darum will ich Ärztin werden, um Menschen zu helfen.“

Spitzenmedizin gleich ums Eck
Für Landeshauptmann Hans Peter Doskozil ist der gelungene Eingriff auch ein Beweis, wie wichtig es ist, Spitzenmedizin in Wohnortnähe anzubieten: „Die Burgenländer haben sich die beste medizinische Versorgung verdient, und die sollen sie auch bekommen. Sie können sich auf uns verlassen.“

Patient ist wieder daheim
Der 74-jährige Patient konnte übrigens mittlerweile das Oberwarter Krankenhaus wieder verlassen, ist beschwerdefrei und fühlt sich seinen eigenen Angaben zufolge „sehr gut.“

Loading...
00:00 / 00:00
Abspielen
Schließen
Aufklappen
kein Artikelbild
Loading...
Vorige 10 Sekunden
Zum Vorigen Wechseln
Abspielen
Zum Nächsten Wechseln
Nächste 10 Sekunden
00:00
00:00
1.0x Geschwindigkeit
Loading
Eingeloggt als 
Nicht der richtige User? Logout

Willkommen in unserer Community! Eingehende Beiträge werden geprüft und anschließend veröffentlicht. Bitte achten Sie auf Einhaltung unserer Netiquette und AGB. Für ausführliche Diskussionen steht Ihnen ebenso das krone.at-Forum zur Verfügung. Hier können Sie das Community-Team via unserer Melde- und Abhilfestelle kontaktieren.

User-Beiträge geben nicht notwendigerweise die Meinung des Betreibers/der Redaktion bzw. von Krone Multimedia (KMM) wieder. In diesem Sinne distanziert sich die Redaktion/der Betreiber von den Inhalten in diesem Diskussionsforum. KMM behält sich insbesondere vor, gegen geltendes Recht verstoßende, den guten Sitten oder der Netiquette widersprechende bzw. dem Ansehen von KMM zuwiderlaufende Beiträge zu löschen, diesbezüglichen Schadenersatz gegenüber dem betreffenden User geltend zu machen, die Nutzer-Daten zu Zwecken der Rechtsverfolgung zu verwenden und strafrechtlich relevante Beiträge zur Anzeige zu bringen (siehe auch AGB). Hier können Sie das Community-Team via unserer Melde- und Abhilfestelle kontaktieren.

Kostenlose Spiele
Vorteilswelt