„Noch artgerecht?“

Nach Unfallserie Debatte über Katzenhaltung

Niederösterreich
27.02.2026 05:00

Das Schicksal von Kater „Tiger“ berührt: Tagelang litt er wegen zwei gebrochener Oberschenkel Schmerzen, nachdem er von einem Auto erfasst worden war. Weil es aktuell kein Einzelfall ist, stößt die St. Pöltner Tierheimleiterin eine Debatte über die artgerechte Haltung der Vierbeiner an.

Eine schmerzhafte Odyssee muss Kater „Tiger“ in St. Pölten hinter sich haben. Er war angefahren und vor einigen Tagen auf der Straße liegend gefunden worden. In der Tierklinik zeigte sich nicht nur, dass beide Oberschenkel gebrochen waren, die Brüche müssen auch mindestens zehn Tage alt sein.

„Mir kommen die Tränen, wenn ich daran denke, welche Schmerzen er gehabt haben muss“, so Victoria Bischof, Leiterin des St. Pöltner Tierheims, wo sich „Tiger“ nun von seiner stundenlangen OP erholt. Er ist mit seinem Schicksal dieser Tage nicht allein. 

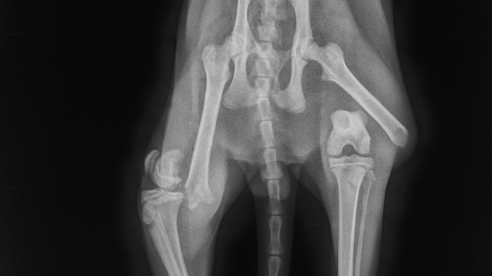
Das Röntgenbild zeigt das Leid, das „Tiger“ nach dem Unfall durchlebt haben muss.
Das Röntgenbild zeigt das Leid, das „Tiger“ nach dem Unfall durchlebt haben muss.(Bild: Tierschutzverein St. Pölten)

Auch „Leo“ war vom Auto erfasst worden. Seine Hüfte wurde zertrümmert, die Hinterläufe sind gelähmt. Eine Operation ist nicht möglich, in der Tierarztpraxis Pottenbrunn versucht man alles, damit „Leo“ eines Tages wieder laufen kann. Die Tierärzte der Landeshauptstadt geben auch bei Unfallopfer „Nacho“ alles. Der Jungkater kämpft nach Schädel-Hirn-Trauma und Lungenblutungen um sein Leben.

Kosten von mehreren Tausend Euro
Die Besitzer haben sich in allen drei Fällen noch nicht gemeldet. „Für die Erstversorgung des Trios sind uns schon Kosten von mehreren Tausend Euro angefallen“, berichtet Tierschutzvereinsobmann Thomas Kainz. Für ihn und Bischof hängt die Unfallhäufung mit den wärmer werdenden Temperaturen zusammen – viele Stubentiger seien nun vermehrt auf Wanderschaft.

Zitat Icon

Wohnungskatzen sind nicht arm und können ein sehr glückliches Leben führen, wenn man sie angemessen beschäftigt.

Victoria Bischof, Tierheimleiterin

„Nicht mehr geeignet“
„Doch ist es wirklich ,artgerecht’, Katzen neben Bundesstraßen und im Stadtgebiet frei laufen zu lassen?“, fragt sich Bischof. Für sie ist klar: „Wohnungskatzen sind nicht arm und können ein sehr glückliches Leben führen, wenn man sie angemessen beschäftigt. Arm sind jene Katzen, die sich tagelang unter unvorstellbaren Schmerzen durch die Gegend schleppen!“ Durch den stetigen Anstieg von Straßenverkehr und Bebauung seien viele Gegenden nicht mehr für Freigängerkatzen geeignet, ist Bischof überzeugt.

Der Tierschutzverein St. Pölten bittet dringend um Spenden mit dem Kennwort „Bruchkatze“: IBAN: AT20 2025 6000 0061 6193

Loading...
00:00 / 00:00
Abspielen
Schließen
Aufklappen
kein Artikelbild
Loading...
Vorige 10 Sekunden
Zum Vorigen Wechseln
Abspielen
Zum Nächsten Wechseln
Nächste 10 Sekunden
00:00
00:00
1.0x Geschwindigkeit
Loading
Eingeloggt als 
Nicht der richtige User? Logout

Willkommen in unserer Community! Eingehende Beiträge werden geprüft und anschließend veröffentlicht. Bitte achten Sie auf Einhaltung unserer Netiquette und AGB. Für ausführliche Diskussionen steht Ihnen ebenso das krone.at-Forum zur Verfügung. Hier können Sie das Community-Team via unserer Melde- und Abhilfestelle kontaktieren.

User-Beiträge geben nicht notwendigerweise die Meinung des Betreibers/der Redaktion bzw. von Krone Multimedia (KMM) wieder. In diesem Sinne distanziert sich die Redaktion/der Betreiber von den Inhalten in diesem Diskussionsforum. KMM behält sich insbesondere vor, gegen geltendes Recht verstoßende, den guten Sitten oder der Netiquette widersprechende bzw. dem Ansehen von KMM zuwiderlaufende Beiträge zu löschen, diesbezüglichen Schadenersatz gegenüber dem betreffenden User geltend zu machen, die Nutzer-Daten zu Zwecken der Rechtsverfolgung zu verwenden und strafrechtlich relevante Beiträge zur Anzeige zu bringen (siehe auch AGB). Hier können Sie das Community-Team via unserer Melde- und Abhilfestelle kontaktieren.

Niederösterreich
Kostenlose Spiele
Vorteilswelt